Is a painless and quick procedure performed on vital (healthy) and no-vital (no nerve) teeth and it can be done at the practice or at home. It is always performed after consultations and with professional dentist’s supervision.
Tooth whitening
Tooth whitening at home
- 10/15/20% H2O2 (hydrogen peroxide)
- Gel is put in the individually made trays
- Treatment duration -10% during the nigh -15/20% 2-4 hours 10-15 days
- Gel consists of patented PF formula that makes enamel more resistant to caries
- Safe and effective method
- Long lasting results
- The most economic solution
- Later refreshing treatment is possible to do with no difficulties thanks to preserved tray
Tooth whitening at the practice
Opalescence boostTM
- professional system performed at the dental practice
- highly active gel for whitening with 38% H2O2 (hydrogen peroxide)
- neutral pH, contains PF formula that strengthens enamel and reduces tooth sensitivity
- lamp is not needed for the activation
- the treatment lasts 3*15 min. with the short preparation
- painless, safe and efficient
ZOOMTM whitening
- Professional system performed at the dental practice
- 35% H2O2, gel for whitening activates with specially designed UV lamp
- 3×15 min during one visit with short preparation
- quick and effective
- painless and safe
- long lasting result
WHITENING OF TREATED / DARK TEETH
OPALESCENCE ENDOTM
- 35% H2O2
- professional product for dental practice usage
- gel is applied on the interior of a specially prepared dark tooth and left for 3 days
- the procedure is repeated 2-3 times
- safe and effective
- extraordinary results
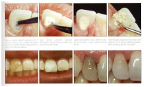
WHITENING OF HYPERPIGMENTED TEETH (FLUOROSIS)
OPALUSTRETM ®
- Micro abrasive paste with silicon carbide particles and chloro hydrogen acid in water solvent
- Chemical and mechanical whitening
Air flow tooth polishing method
Is a new tooth polishing method. It painlessly removes plaque, nicotine layers, tanin (red wine) and other layers. It works with air, water and small particles of natrium bicarbonate pressure









