Сильно ли заметны Ваши десны, когда Вы улыбаетесь? Есть ли у Вас ощущение, чтобы Вы улыбаетесь деснами?
Прикрываете ли рот рукой или стараетесь не улыбаться широко, стараясь не показывать десневую улыбку?
Хотели бы Вы скорректировать Вашу улыбку?

Сильно ли заметны Ваши десны, когда Вы улыбаетесь? Есть ли у Вас ощущение, чтобы Вы улыбаетесь деснами?
Прикрываете ли рот рукой или стараетесь не улыбаться широко, стараясь не показывать десневую улыбку?
Хотели бы Вы скорректировать Вашу улыбку?
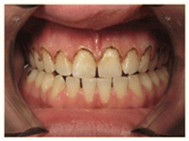
Десневая улыбка это когда при улыбании слишком сильно обнажается и часть слизистой оболочки над линией десен (слишком видны десны). И хотя десневая улыбка считается нормальным вариантом человеческой анатомии, многие люди ее имеющие, страдают от личной неуверенности, стесняются улыбаться и желают избавиться от такой улыбки. Кроме эстетической десневая улыбка имеет еще и функциональную проблему – поскольку десны длительно находятся на открытом воздухе они высушиваются и, как следствие, воспаляются.

Если Вам кажется, что у Вас десневая улыбка, обратитесь к Вашему стоматологу. Кроме слепков зубов и десен, радиографии, к анализу такого положения десен обычно подключаются и специалисты пародонтологии, ортодонтии и челюстно-лицевой хирургии. Коррекция десневой улыбки заключается в удлиннении клинической коронки зуба. Мы в состоянии исправить Вам улыбку с помощью простых периодонтальных хирургических процедур. Вы будете в восторге от красоты и естественного вида Вашей улыбки, полученной после непродолжительной безболезненной коррекции.
Чаще всего в таких случаях применяется терапевтическая процедураГингивэктомия

В случаях легкой тяжести гингивэктомия проводится с помощью лазерного скальпеля.
Она подразумевает удаление части края десны и формирование здоровых и красивых контуров
Это процедура, к которой прибегают в случаях, когда необходимо большее сокращение десневой области, а чаще всего и части кости. Она проводится под местным наркозом и дает прекрасные результаты.


В зависимости от Вашего клинического состояния исправление десневой улыбки может также включать и следующие процедуры:
