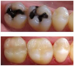
Композитные материалы нового поколения полностью соответствуют самым высоким мировым стандартам.
Кроме эстетического эффекта, правильное моделирование обеспечивает оптимальное функционирование, зуб выглядит естественно и прекрасно вписывается в окружащую структуру.

