Пародонтопатия представляет собой воспалительный процесс, который захватывает десны, костную ткань альвеолы и другие органы так называемого опорного аппарата зуба. Она характеризуется воспалением десен (гингивит) и ослаблением зубодесневого соединения, резорбцией костной ткани, образованием пародонтальных карманов, а в запущеной форме – повышеной подвижностью зубов и окончательной потерей зуба.
Пародонтопатия
Пародонтопатия представляет собой воспалительный процесс, который захватывает десны, костную ткань альвеолы и другие органы так называемого опорного аппарата зуба. Она характеризуется воспалением десен (гингивит) и ослаблением зубодесневого соединения, резорбцией костной ткани, образованием пародонтальных карманов, а в запущеной форме – повышеной подвижностью зубов и окончательной потерей зуба.
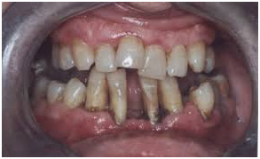
Хотя это заболевание может стремительно развиваться и быстро привести к потере зубов, в большинстве случаев пародонтопатия носит хронический характер и на первых фазах развития имеет почти незаметные признаки и симптомы. Первый симптом, который пациент обычно замечает, это кровоточащие десны при чистке зубов. Это является признаком воспалительного процесса (гингивит).
С развитием болезни пациенты могут заметить, что в некоторых местах десны изменились, что оголились шейки зубов, и зубы реагируют на термические и механические раздражители. В запущеной форме болезни, когда уже произошла значительная резорбция альвеолярной кости и появились глубокие пародонтальные карманы, пациенты замечают, что у них начали шататься зубы, что появились щели между зубами, которых раньше не было, или что уже существующие щели увеличились, что некоторые зубы стали кривыми или вышли за пределы зубного ряда.
Лечение пародонтопатии
Лечение пародонтопатии – это весьма длительный и сложный процесс и требует активного выполнения пациентом всех указаний врача. Сегодня у нас в распоряжении находятся многочисленные терапевтические процедуры, с помощью которых возможно взять болезнь под контроль, остановить ее или максимально замедлить ее развитие, и даже восполнить часть потерянных в течении болезни тканей, что дает возможность пациенту на много лет сохранить естественную дентицию.
Само лечение проходит в несколько фаз.
Первая, то есть каузальная фаза подразумевает устранение воспаления в пародонте.
Благодаря очистке зубного налета, зубного камня и других отложений на зубах, устранению всех локальных факторов, которые способствуют их образованию, и обработке пародонтальных карманов, уничтожается большая часть микроорганизмов, которые и привели к воспалению и развитию болезни.
Вторая фаза лечения хирургическая. При помощи разнообразных так называемых лоскутных операций возможно значительно сократить глубину пародонтальных карманов и вернуть деснам нормальный морфологический вид. Искусственным наращиванием кости во время лоскутных операций восстанавливается костная ткань и дополнительно уменьшается глубина пародонтальных карманов. Хирургическое лечение пародонтопатии включает в себя и так называемую мукогингивальную хирургию, то есть устранение мукогингивальных аномалий, а также эстетическую пародонтическую хирургию, с помощью которой можно устранить некоторые эстетические недостатки, являющиеся последствием самой болезни. И в самом конце хирургическая фаза лечения подразумевает strong>подготовку пародонта к протезированию , после которой потерянные зубы заменяются протезами, стабилизируется окклюзия и артикуляция. Последняя фаза это процесс укрепления достигнутых лечением результатов, что подразумевает регулярные контрольные осмотры у стоматолога с целью своевременного ослеживания признаков повторного воспаления, то есть рецидива болезни.







