Современная стоматология подразумевает удаление кариеса с максимальным сохранением зубной ткани и придание зубу его первоначального (морфологического) вида. Пломбы используются для заполнения небольших повреждений зубной ткани – эмали и дентина.
Консервативная стоматология
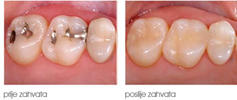
ПЛОМБЫ
Пломбы из амальгамы (серые, серебрянные пломбы) являются простым и быстрым решением, но по эстетическим причинам все меньше используются в современной стоматологии.
Композитные пломбы (белые пломбы) намного более выгодны с точки зрения эстетики. Химическая связь, возникающая между зубом и такой пломбой, препятствует проникновению бактерий и не ослабевает в процессе жевания. Современные композиты обладают так называемым эффектом хамелеона – приобретают цвет зубной ткани с которой вступают в контакт и, при этом, сохраняют отличные механические и биологические свойства.
ЭНДОДОНТИЯ – ЛЕЧЕНИЕ КОРНЕВЫХ КАНАЛОВ ЗУБА
В результате кариеса или разрушения зуба бактериям открывается доступ к корневому каналу (пульпе), что ведет к воспалению, а иногда и к некрозу, которые могут распространиться и на соседние ткани. Если такой процесс уже начался, то необходимо удалить из канала воспаленую или некротичную ткань, чтобы предотвратить ослабление соседних тканей и потерю зуба. Такое лечение называется эндодонтическим (терапия каналов зуба), которое может быть проведено вручную или с помощью специальной аппаратуры.
Механическое эндодонтическое лечение подразумевает обработку каналов с помощью специального набора игл, при чем инфицированные ткани вручную удаляются из канала и обрабатываются его внутренние стенки. Сам канал необходимо тщательно очистить, расширить и дезинфицировать.
Машинное лечение производится с помощью эндо-мотора с апекс-локатором. Машина запраграммирована таким образом, что сама останавливается в верхушке корня. Такое лечение намного быстрее и современнее.
После обработки и очищения каналов, они заполняются специальной пастой и гуттаперчевыми штифтами, с помощью которых каналы герметически закрываются и дальнейшее проникновение бактерий и возникновение инфекции становится невозможным.
Зубы с удаленной пульпой (зубным нервом) становятся хрупкими и под воздействием жевательных действий быстрее разрушаются, поэтому часто рекомендуется укреплять такие зубы керамическими пломбами.
В некоторых случаях эндодонтическое лечение каналов зубов невозможно. Например, когда у зубов нетипичные или обтурисанные каналы, обширное периапикальное поражение и т.п. В таком случае необходимо хирургическое вмешательство —апикотомия.





