Лечение с помощью несъемных аппаратов проводится после формирования постоянной дентиции.
Аппараты бывают металлическими или эстетическими, они устанавливаются на внешней или внутренней поверхности зубов (так называемые лингвальные), состоят они из скоб или замочков (брекетов), которые фиксируются на зубах и металлической дуги, под воздействием которой зубы перемещаются в идеальное положение.
Несъемная аппаратура дает намного лучшие результаты чем съемная, поскольку находится на зубах постоянно, а это значит, что процесс исправление зуба не прекращается.
Несъемная ортодонтическая аппаратура
Стандартные (консервативные) несъемные аппараты
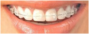
Это вестибулярные аппараты, где брекеты устанавливаются на внешнюю поверхность зуба. Они могут быть металлическими (с использованием металлических брекетов) и эстетическими (с керамическими или сапфировыми брекетами), которые практически незаметны.
Металлическая несъемная аппаратура
Вы можете сделать ее более привлекательной, выбрав разноцветные лигатурные резинки.
Эстетическая несъемная аппаратура
для тех, у кого эстетика на первом месте.
Они составляют особую группу самолигирующиеся стационарные приборы
Преимуществ у безлигатурных систем множество. Прежде всего, эстетика – металлические брекеты Damon намного менее заметны, чем традиционные металлические брекеты. Самое большое преимущество Damon систем по сравнению с консервативными заключается в сокращении времени лечения аж до 6 месяцев.
Лингвальные несъемные аппараты
Полностью невидимые, поскольку устанавливаются на внутреннюю сторону зубов.
Новинка!
Incognito 3M
Moderna i nevidljiva alternativa konvencionalnim bravicama.
Брекеты изготавливаются с применением 3D технологии из золотого сплава в лаборатории в Германии, индивидуально для каждого пациента (с применением самой современной технологии CAD/CAM).
Представляет собой самый современный и наименее заметный метод класса люкс. Брекеты отливаются из золота и устанавливаются на внутреннюю поверхность зуба, что делает такую аппаратуру приемлемой для всех пациентов, у которых эстетика стоит на первом месте.
Лечение с помощью несъемной аппаратуры обычно длится от одного до двух лет. Продолжительность зависит от степени искривления зубов и челюстей. Решение о том, какое лечение будет применятся, принимается после подробного и всеохватывающего анализа моделей и рентгеновских снимков (панорамный снимок и телерентгенография), с целью назначения каждому пациенту самого оптимального и индивидуально ему подходящего лечения.
Советы
Во время ортодонтического лечения, в независимости от того, проводится ли оно с помощью классической или лингвальной аппаратуры, необходимо уделить особое внимание способу потребления пищи. Следует избегать откусывания твердой пищи и фруктов (например, яблок). Желательно всю пищу разрезать на маленькие кусочки и только после этого есть. Также необходимо отказаться от некоторых продуктов (твердые конфеты, орехи, а также жевачки и карамель), которые могут привести к отклеиванию брекетов от зубов.
Необходимо обогатить питание витамином С, который играет важную роль в поддержании здоровья костей и коллагенных волокон. Важнее всего в течении ортодонтического лечения поддерживать идеальную гигиену зубов и полости рта.
Обычно необходимо посещать ортодонта раз в 2-4 недели, чтобы контролировать процесс выравнивания. Продолжительность лечения индивидуальна, в среднем 18-20 недель.
После снятия аппаратуры следует не менее важная часть лечения – РЕТЕНЦИЯ.
Ретейнеры это съемные аппараты или каппы, которые необходимо носить после снятия бреккет-системы, чтобы закрепить достигнутый результат. Обычно их носят в течении 1-2 лет, чтобы избежать рецидива, то есть возвращение зубов в первоначальное положение.





